저희 조카는 치아에 충치가 좀 있는 편인데, 최근에 아기 치아우식증 때문에 많이 힘들었다고 해요. 우리가 매일 음식을 먹고 살아가는데 치아 표면에 음식찌꺼기 등이 붙어서 세균이 만들어지고, 치아를 파괴하는 치아우식증은 감염성 질환입니다. 그런데 아기를 키우다보면 한번쯤 들어보셨을 아기 치아우식증이나 충치, 착색, 변색 대해서 한번 알아보고자 합니다.

아기 치아우식증
주기적으로 영유아 치과검진을 하게 될텐데 아기 치아를 살펴보다가 착색 또는 충치처럼 보이는 것들이 있습니다. 치아관리를 소홀히 하면 부정교합이나 나중에 영구치가 난 후에도 치주질환 때문에 고생할 수가 있어서요. 유치때부터 아기 충치 착색 우식증 예방을 위한 노력과 관리는 꾸준히 해주어야 합니다.
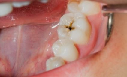
치아표면의 플러그 때문에 겉면이 손상되고, 아기 스스로 양치하라고 내버려두었을 때 양치가 제대로 되지 않아서 치아우식증이 대부분 발생합니다. 흰색 반점 또는 띠가 보이기도 하고, 치아표면이 깨져나가기도 하고, 치통이나 고름이 나는 우아기 치아우식증의 형태들을 살펴볼 수 있습니다.

- 가장 흔한 우식증 증상은 처음에 하얀반점처럼 띠가 생기는 증상입니다. (이후 이가 깨져나가게끔 진행)
그냥 소홀히 지나칠 수도 있는데 빠르게 착색이나 반점을 확인한다면 우식증을 초반에 치료할 수가 있는데요. 스스로 양치를 잘 못하는 아기들을 위해서 엄마가 항상 옆에서 케어해주세요. 치과에 갔는데 자세히 살펴보면 생각보다 치료할 이빨이 많아서 부모님은 놀라게 된답니다.
아기 치아우식증 예방 및 관리법
- 구강청결티슈 사용하기
- 수유 후 잇몸과 혀 등을 거즈로 꼼꼼히 닦아주기
- 쪽쪽이를 물리면 돌출형치아, 부정교합이 생길 가능성이 높음
- 이가 나왔을 때 부드러운 칫솔모를 사용해주기
- 불소가 없는 치약을 사용해주기 (무불소치약)
- 단맛이 있는 간식 섭취후에는 어금니 사이에 이물질이 끼진 않았는지 꼭 확인해주기
하루 세 번 양치할 수 있도록 양치습관을 잘 들여주고, 아기 충치가 보인다 싶으면 바로 병원에 가서 초기에 진료를 하는 것이 좋습니다. 그리고 아기 치아 변색은 단순히 음식때문일 수도 있지만 어딘가에 쿵, 부딪히고 난 후 시간이 지나서 치아에 멍이 든 경우일 수도 있으니 신경이 다치지는 않았는지 확인해볼 필요가 있습니다.
아기 치아 변색
우유때문이라는 이야기도 있고, 잘 닦이지 않아서, 미생물때문에, 혹은 치아에 멍이 들어서 치아변색이 올 수 있습니다. 변색된 상태는 외부적인 요인이라면 대부분 돌아왔다는 이야기가 많아 한 시름 놓았는데요, 그럼에도 불구하고 모든 상황이 다를 수 있으니 정확하게는 가까운 어린이 병원에 방문해보시는게 좋을 것 같습니다.
매복 사랑니 발치 후기 및 발치비용 통증 정도
매복사랑니 발치 후기를 남겨봅니다 12월 18일 토요일 오랜만에 치과에 다녀왔습니다. 어금니 뒤 잇몸이 3일 내내 붓고 만지면 딴딴하고 아팠거든요. 가끔 피곤하면 붓는 경우가 있었기에 별 대
okayer.tistory.com
'세상만사' 카테고리의 다른 글
| 카니발 하이브리드 2023 카니발페이스리프트 가격 출시일 (0) | 2023.02.07 |
|---|---|
| 안심소득 신청, 서울시민 대상 신청 후 지급 받아요 (0) | 2023.02.07 |
| 고야드 보헴백 미니앙주 고야드가방 가격 명품데일리가방 (2023년) (0) | 2023.02.06 |
| 테슬라모델 보조금 전기차가격, 수입전기차 보조금 차등 (2023년) (0) | 2023.02.03 |
| 러쉬 세일 반값 매장세일 2월 프레쉬세일 러쉬추천템 (2023년) (1) | 2023.02.02 |
| 2023년 실업급여 단기 계약직 조건 실업금여금액 수급신청방법 (0) | 2023.02.02 |
| 변기 막혔을때 화장실변기막힘 뚫는방법 뚫어뻥사용법 (0) | 2023.01.31 |
| 유보통합 장단점 보육교사 유치원 어린이집 자격 하나로? (2025년~) (1) | 2023.01.31 |