임신 6주 심장소리 듣다
2023년 4월 17일, 우리 짱튼이가 지어놓은 아기집을 보았습니다.
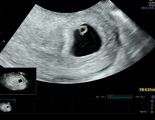
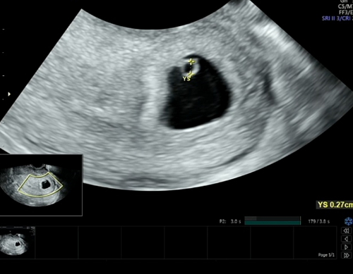
그리고 다녔던 난임병원에 다시 들러 6주 0일 아기집, 난황, 심장소리를 확인했습니다.
6주 3일 일 줄 알았는데, 알고보니 6주사이즈 정도였고 이는 안정기가 될 때 까지 몇일정도 차이날 수 있다고 합니다.

5주에는 보통 아기집을 보고, 5주와 6주 사이에는 아기집, 난황을 볼 수 있습니다.
임신6주차 이후에는 아기집, 난황, 심장소리까지 들을 수 있는데요.
난황이란?
난황이란 임신 초기에, 아직 탯줄이 형성되기 전에 영양분을 공급받는 태아의 도시락입니다.
난황은 동그랗게 다이아몬드반지처럼 보인답니다.
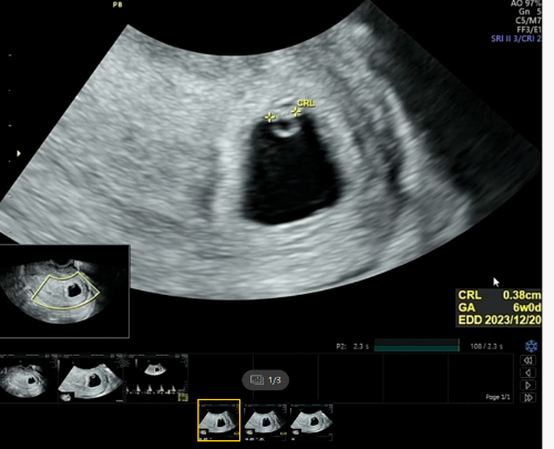
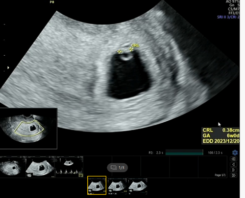
난황에 가려져 잘 보이지 않는 아기, 아기는 지금 매우매우 작은 0.38cm의 모습을 하고 있답니다.
너무 신기하죠? 출산 예정일은 2023년 12월 20일로 보여지네요.


심장소리를 듣고 감동도 잠시, 심장박동수가 조금 느리다고 하더라고요.
아기의 심장은 잘 뛰고 있었지만, 불안감이 엄습해왔습니다.
왜냐하면 저는 37주 6일에 심정지로 지난 아기를 보낸 경험이 있기에, 심장에 대한 트라우마가 있거든요.
5주에는 심장소리가 잘 들리지도 않지만 아래 표에 따르면 80-103bpm 정도 된다고 합니다.
6주 심장소리는 103부터 126bpm까지가 정상범위이고요.

제가 6주 0일차에 100bpm 정도였으니, 살짝 낮은 정도이긴 하지만
과거 이력이 있기 때문에 선생님께서는 적극처방을 해주셨습니다.
임신 6주~12주 심박수
- 임신6주 103 - 126 bpm
- 임신 7주 126 - 149 bpm
- 임신 8주 149 - 172 bpm
- 임신 9주 155 - 195 bpm (평균 175bpm)
- 임신 12주 120 - 180 bpm (평균 150bpm)
크녹산주사 7일분, 아스피린 7일분 처방이 내려졌습니다.
초기이므로 유산을 방지하기 위한 조치였는데요. 다음주 7주차에 경과를 다시 보기로 했습니다.
심장소리가 다음주에 더욱 우렁차게 들리길 바랄 수 밖에 없겠지요.
38주 사산 이후 습관성유산검사를 한번 진행했었고, 그에 대한 결과치에 따른 처방이었습니다.
심정지는 워낙 원인을 알 수 없다지만 그럼에도 제가 혈전이 잘 생기는 몸인지 궁금했어서 피검사를 했었었고,
정상범위이긴 하지만 이번에는 아기를 꼭 지키고 싶어서 매일 배주사를 놓고 약도, 영양제들도 챙겨먹고 있습니다.
임신6주차 증상
임신6주차가 되는 시기에는 보통 입덧이 시작되는 시기인데요.
약을 먹을 때 덜 울렁거리기 위해서 이것저것 아침도 잘 챙겨먹고 있는데 그럼에도 불구하고 속이 편치는 않습니다.
울렁이기도 하고, 소화도 잘 안되고 정상적인 변보다 설사변을 더 자주보고 있고요.
잘 아시겠지만 임신5주 6주, 정말 초기에는 몸을 조심해야합니다.
어차피 건강하게 태어날 아이들은 태어난다고 하지만, 아기를 못만나게 되었을 경우
'이렇게 안했었더라면..' 하는 자책과 후회가 남거든요.
저처럼 걱정이 많으신 분들이라면 조금이라도 조심 하시되,
어차피 될놈될이라는 생각으로 우리 아기를 믿고 마음을 편하게 가지시는것도 방법입니다.
저도 아마 사산 이력이 없었다면 정말 마음 편하게 있었을 것 같은데요, 이미 일어난 일은 어쩔 수 없죠.
다시 찾아온 임신 6주차 심장소리 까지 들었고, 아기가 아직 작아서 약한거라고 생각할래요.
그리고 다음주 7주차에는 더욱 우렁찬 모습으로 짱튼이를 만날 수 있길 바라고 또 짱튼이를 믿어봅니다.
임신5주차가 지나 6주차 이시라면 축하드립니다^^
우리 모두 순산했으면 좋겠고, 순산하길 누구보다 더 바라겠습니다.
'건강 임신 노화' 카테고리의 다른 글
| 국민행복카드 바우처 신청방법 임신바우처 잔액조회 (1) | 2023.05.03 |
|---|---|
| 입덧약 부작용 가격 입덧시기 입덧가라앉히는 음식 (0) | 2023.05.01 |
| 부산 산후조리원 해운대 엘리움 조리원 가격 정보 (2023년) (0) | 2023.04.27 |
| 고위험 임산부 의료비 지원대상 지원내용 신청방법 알기 (2) | 2023.04.19 |





